Which Natural Repellents Protect Against Mosquitoes and Ticks?
Natural insect repellents are increasingly popular across Latin America, but most offer little real protection. A 2023 study tested plant-based ingredients against mosquitoes and ticks and found that only a few—cinnamon oil, clove oil, and geraniol—provided meaningful, multi-vector repellency. This blog breaks down which natural repellents actually work and what that means for real-world disease prevention.
Do Natural Insect Repellents Work? What The Science Says
Natural repellents are widely used across Latin America, but most fail to prevent mosquito bites. New evidence shows only a small number of plant-based ingredients provide real, short-term protection—highlighting the risks of relying on ineffective products.
Metronidazole vs. H. pylori: How It Works—and Fails
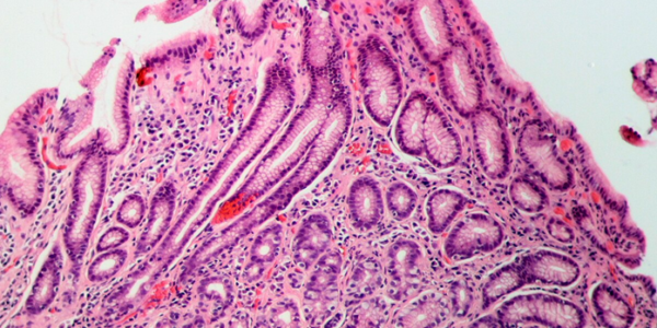
Metronidazole remains a first-line therapy for Helicobacter pylori in Latin America, despite widespread resistance. Because the drug requires intracellular activation to damage bacterial DNA, even small disruptions in bacterial metabolism can render it ineffective, driving treatment failure, persistent infection, and preventable disease.
How Dengue, Chikungunya, and Zika Symptoms Change With Age
An 18-year pediatric cohort study from Nicaragua shows that dengue, chikungunya, and Zika symptoms change with age and over the first 10 days of illness. Fever patterns, rashes, and blood markers evolve differently across childhood, revealing diagnostic clues that static symptom checklists often miss. Tracking symptom trajectories over time leads to more accurate differentiation of these infections.
Metronidazole Is Failing H. pylori Treatment in Latin America
Metronidazole is rapidly failing as a first-line Helicobacter pylori treatment in Latin America. High resistance rates in Colombia, Peru, and Brazil exceed safe empiric thresholds, driving treatment failure, persistent infection, and increased gastric cancer risk.
Dengue Fever vs Dengue Hemorrhagic Fever: Critical Differences
Dengue is not a single disease with a single outcome. While most infections cause a self-limited fever, severe dengue follows a different and far more dangerous path. This article explains the critical differences between dengue fever and dengue hemorrhagic fever, why the highest risk often appears when fever breaks, and how recognizing plasma leakage can save lives.
Multidrug-Resistant H. pylori in Gastric Cancer Patients from Colombia
Genetic mutations drive widespread multidrug resistance in Helicobacter pylori strains from Colombia, limiting the effectiveness of standard treatments and underscoring the need for precision-based therapy.
Silent Dengue in Children: Why Fever-Based Diagnosis Is Failing
Dengue can occur without fever in children. An 18-year pediatric cohort study from Nicaragua shows that fever-based case definitions miss laboratory-confirmed dengue cases, some of which still display warning signs of severity. These findings reveal a critical blind spot in pediatric dengue surveillance.
How to Tell Dengue, Chikungunya, and Zika Apart in Children
Dengue, chikungunya, and Zika often circulate together, but in children they do not behave the same. Drawing on 18 years of pediatric data from Nicaragua, this analysis shows how symptom patterns and simple blood tests, rather than fever alone, can reliably distinguish these infections in real clinical settings.
Oropouche Virus Is Expanding: Are You in a Newly Emerging Hotspot?
Oropouche virus (OROV) is an emerging vector-borne disease rapidly expanding beyond the Amazon Basin and into new regions of Latin America and the Caribbean. Using advanced environmental and machine-learning models, researchers show that deforestation, land-use change, and climate conditions are creating widespread environments suitable for OROV transmission.
Which mosquito traps work? A research study gives key factors
Which mosquito traps work best? A study in the Peruvian Amazon found that UV light traps outperformed others, capturing more mosquitoes and greater species diversity. The results show that different traps attract different species and that forest areas harbor far more mosquitoes than human-occupied sites, highlighting the importance of trap choice for effective dengue surveillance.
Who Is Most at Risk of Severe Dengue? Key Factors You Need to Know
Dengue is rising across Latin America, and new research reveals who is most at risk. This review highlights the key factors linked to severe disease, like secondary infections, certain symptoms, and vulnerable age groups—so you can recognize danger early and stay protected.

















Recent Comments