Figure 1. Hispanic/Latino family. Source: quinntheislander | Needpix
Helicobacter pylori (H. pylori) is a type of bacteria that infects the stomach lining and is recognized as one of the most common chronic bacterial infections worldwide.
In Hispanic populations, the prevalence of H. pylori infection is notably high, contributing to a disproportionate burden of digestive and systemic health conditions.
The impact of H. pylori goes far beyond the stomach. In addition to causing peptic ulcers and chronic gastritis, studies suggest that this infection may also contribute to liver disease, metabolic disorders, and an increased risk of gastric cancer and other malignancies.
For Hispanic communities, understanding the risks associated with H. pylori is critical. Early detection, prevention, and timely medical intervention can help reduce long-term complications and improve overall digestive and systemic health.
Having family members battling persistent H. pylori has pushed me to dig deeper into not only one, but many diseases linked to this bacterium.
In this blog, I break down the top health risks associated with H. pylori, with a special focus on why it matters so much for Hispanic populations. Learning about the science behind H. pylori has opened my eyes to its hidden dangers, and I hope it helps raise awareness for you too.
Table of Contents
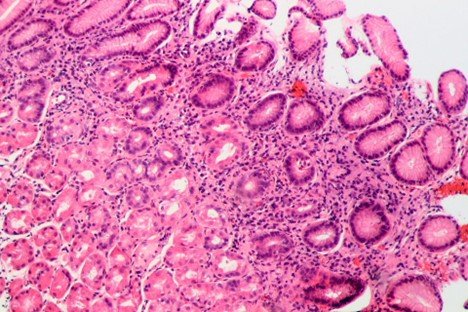
Peptic Ulcer Disease and Chronic Gastritis
Figure 1. Gastritis due to H. pylori. Source: Patho | Wikimedia Commons.
H. pylori is a major cause of peptic ulcer disease (PUD) and chronic gastritis, conditions that affect millions of people worldwide.
This condition develops when open sores form on the stomach lining or the upper small intestine. Common symptoms include abdominal pain, bloating, nausea, indigestion, and in severe cases, gastrointestinal bleeding. Chronic gastritis, on the other hand, is a prolonged inflammation of the stomach lining that can lead to discomfort, indigestion, and long-term digestive issues.
In Hispanic populations, these conditions are particularly prevalent due to higher H. pylori infection rates and delayed diagnosis. Unfortunately, many cases go undiagnosed or untreated. Factors such as limited access to healthcare, delayed testing, poor sanitation, and crowded living environments all contribute to this disproportionate burden.
Gastric Cancer
Figure 2. Stomach cancer as shown by EGD. Med Chaos | Wikimedia Commons.
Gastric adenocarcinoma, a type of stomach cancer, has disproportionately affected Hispanic populations compared to non-Hispanic groups in the United States.
For example, doctors are seeing 10 to 12 incidence rates per 100,000 people in Los Angeles County. H. pylori infection is considered the strongest known risk factor for this cancer. The bacterium triggers chronic inflammation in the stomach lining, leading to precancerous changes over time.
Studies show that eradication of H. pylori can significantly reduce the risk of developing gastric cancer, particularly in high-risk communities.
The disproportionate burden of gastric cancer in Hispanic individuals underscores the importance of public health strategies aimed at early detection and treatment of H. pylori.
Screening programs, particularly for those with a family history of gastric cancer, could be instrumental in reducing morbidity and mortality.
Colorectal Adenomas: Emerging Connections
Beyond the stomach, research is beginning to explore a potential link between H. pylori infection and colorectal adenomas, which are precancerous growths in the colon. Adenoma has higher prevalence in Blacks and Hispanics than in Whites.
While evidence is still emerging, some studies suggest that chronic inflammation and systemic effects caused by H. pylori could contribute to colorectal neoplasia.
For Hispanic populations, who may already face disparities in colorectal cancer screening and outcomes, this potential connection warrants closer attention.
Metabolic Dysfunction-Associated Steatotic Liver Disease (MASLD)
Figure 3. Liver cirrhosis. Source: Narraburra | Wikimedia Commons.
A newer area of research indicates a possible association between H. pylori and metabolic dysfunction-associated steatotic liver disease (MASLD), formerly known as non-alcoholic fatty liver disease (NAFLD).
MASLD involves the accumulation of fat in the liver, which can lead to inflammation, fibrosis, and even liver failure. U.S. Hispanic adults has been shown to have significantly higher relative risk of MASLD and MASH compared with non-Hispanic population.
Although the mechanisms remain under investigation, some studies suggest that H. pylori-induced systemic inflammation and metabolic disturbances may contribute to liver fat accumulation, particularly in Hispanic adults.
Other Potential Associations
Beyond gastrointestinal and liver-related conditions, researchers are exploring links between H. pylori infection and other extragastric diseases, including cardiovascular complications, insulin resistance, and other metabolic disorders.
While these associations require further confirmation, they emphasize that H. pylori infection is not merely a stomach issue, it may have broader systemic implications, particularly in populations with high prevalence, such as Hispanics.
Prevention and Early Detection
Given the potential health consequences, early detection and treatment of H. pylori infection are crucial. Standard diagnostic tests include breath tests, stool antigen tests, and endoscopic biopsy when necessary. Treatment typically involves a combination of antibiotics and acid-suppressing medications to eradicate the bacteria and reduce the risk of complications.
For Hispanic communities, public health efforts should focus on increasing awareness, improving access to healthcare, and promoting routine screening for high-risk individuals. Lifestyle factors, such as proper hygiene, safe food and water practices, and dietary considerations, can also help reduce the risk of infection.
H. pylori infection poses significant risks for Hispanic populations, including digestive disorders, stomach cancer, and possibly liver and metabolic conditions. Awareness, timely diagnosis, and treatment are critical steps in reducing these health risks.
H. pylori is more than just a stomach infection, it is a hidden threat linked to ulcers, gastritis, gastric cancer, and even liver and metabolic diseases. For Hispanic communities, where infection rates are higher, awareness and early action can make all the difference.
What you can do now:
- Ask your doctor about H. pylori testing if you experience ongoing digestive symptoms.
- Learn more about prevention and treatment strategies right here on Pathogenos.
- Share this article with family and friends, awareness saves lives.
Stay informed with science-based insights on public health, infections, and disease prevention. Subscribe to Pathogenos and never miss an update.

Woah! I’m really digging the template/theme of this blog. It’s simple, yet effective. A lot of times it’s hard to get that “perfect balance” between user friendliness and visual appeal. I must say you have done a amazing job with this. In addition, the blog loads super quick for me on Internet explorer. Superb Blog!
Thanks for the feedback! Glad it is loading quickly.